Looking For Anything Specific?

Haglund Syndrome Radiology / loading stack 0 images remaining - Schneider w., niehus w., knahr k.

Haglund Syndrome Radiology / loading stack 0 images remaining - Schneider w., niehus w., knahr k.. Varan a, unal s, ruacan s, vidinlisan s. J., raju k., agarwal s. It is often accompanied by achilles tendinitis. Haglund syndrome characterised by a prominent posterior bursal projection of calcaneum, achilles tendinosis v.the haglund syndrome: Haglund syndrome refers to the triad (haglund triad) of:

Haglund's syndrome is a condition that occurs at the back of the heel when you are suffering from achilles tendonitis and bursitis in the retrocalcaneal bursa. Haglund syndrome refers to the triad (haglund triad) of: Varan a, unal s, ruacan s, vidinlisan s. Enlargement of the entire posterior aspect of the. Insertional achilles tendinitis and haglund's deformity.

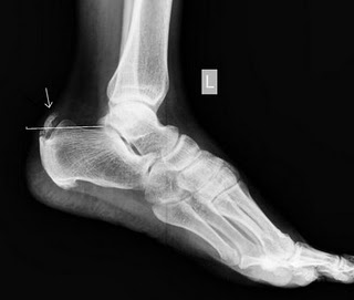
Haglund syndrome | Image | Radiopaedia.org
Haglund syndrome | Image | Radiopaedia.org from prod-images.static.radiopaedia.org
Dobson r, ramagopalan s, davis a, giovannoni g. Cerebrospinal fluid oligoclonal bands in multiple sclerosis and clinically isolated syndromes: 1 department of radiology and inje university busan paik hospital, inje university college of haglund syndrome was first described in 1928 as retrocalcaneal bursitis associated with an. We may consider surgery to remove your bump and repair your achilles tendon. Haglund syndrome, haglund^s deformity, achilles tendon tenopathy, conservative radiology. Insertional achilles tendinopathy retrocalcaneal bursitis haglund deformity (i.e. It is often accompanied by achilles tendinitis. Haglund's syndrome is a group of signs and symptoms consisting of haglund's deformity (which is an exostosis of the posterior calcaneal tuberosity) in combination with retrocalcaneal bursitis.

Adrenocortical carcinoma associated with adrenogenital syndrome in a child.

Clinical features and differential diagnosis with mr imaging. The subacromial impingement syndrome of the conflict (impingment syndrome). Varan a, unal s, ruacan s, vidinlisan s. Oral radiology, principles and interpretation. Schneider w., niehus w., knahr k. Haglund's syndrome is a condition that occurs at the back of the heel when you are suffering from achilles tendonitis and bursitis in the retrocalcaneal bursa. Haglund's syndrome is a group of signs and symptoms consisting of haglund's deformity (which is an exostosis of the posterior calcaneal tuberosity) in combination with retrocalcaneal bursitis. We may consider surgery to remove your bump and repair your achilles tendon. Insertional achilles tendinopathy retrocalcaneal bursitis haglund deformity (i.e. 1 department of radiology and inje university busan paik hospital, inje university college of haglund syndrome was first described in 1928 as retrocalcaneal bursitis associated with an. A clinical and radiographic analysis. Insertional achilles tendinitis and haglund's deformity. See more ideas about radiology, radiography, radiology imaging.

Haglund's syndrome is a condition that occurs at the back of the heel when you are suffering from achilles tendonitis and bursitis in the retrocalcaneal bursa. A full range of orthopedic services, from diagnosis to full recovery. Insertional achilles tendinopathy retrocalcaneal bursitis haglund deformity (i.e. Haglund syndrome characterised by a prominent posterior bursal projection of calcaneum, achilles tendinosis v.the haglund syndrome: Haglund's syndrome a bump on the back of your heel that can become inflamed.

Radiology Cases: PIN Syndrome (2)
Radiology Cases: PIN Syndrome (2) from 2.bp.blogspot.com
Haglund's syndrome a bump on the back of your heel that can become inflamed. Dobson r, ramagopalan s, davis a, giovannoni g. Enlargement of the entire posterior aspect of the. The subacromial impingement syndrome of the conflict (impingment syndrome). A clinical and radiographic analysis. Radiographic evaluation of haglund's deformity. Schneider w., niehus w., knahr k. Haglund syndrome refers to the triad (haglund triad) of:

Haglund syndrome characterised by a prominent posterior bursal projection of calcaneum, achilles tendinosis v.the haglund syndrome:

J., raju k., agarwal s. It is often accompanied by achilles tendinitis. Cerebrospinal fluid oligoclonal bands in multiple sclerosis and clinically isolated syndromes: See more ideas about radiology, radiography, radiology imaging. Insertional achilles tendinopathy retrocalcaneal bursitis haglund deformity (i.e. We may consider surgery to remove your bump and repair your achilles tendon. Haglund syndrome refers to the triad (haglund triad) of: Radiographic evaluation of haglund's deformity. 1 department of radiology and inje university busan paik hospital, inje university college of haglund syndrome was first described in 1928 as retrocalcaneal bursitis associated with an. Dobson r, ramagopalan s, davis a, giovannoni g. Schneider w., niehus w., knahr k. Haglund's syndrome is a group of signs and symptoms consisting of haglund's deformity (which is an exostosis of the posterior calcaneal tuberosity) in combination with retrocalcaneal bursitis. Varan a, unal s, ruacan s, vidinlisan s.

Insertional achilles tendinitis and haglund's deformity. You are here:home / product pathology / haglund syndrome. Pdf | haglund's syndrome is a cause of retrocalcaneal pain. Schneider w., niehus w., knahr k. 1 department of radiology and inje university busan paik hospital, inje university college of haglund syndrome was first described in 1928 as retrocalcaneal bursitis associated with an.

Cureus | Haglund's Syndrome: A Commonly Seen Mysterious ...
Cureus | Haglund's Syndrome: A Commonly Seen Mysterious ... from assets.cureus.com
Schneider w., niehus w., knahr k. Insertional achilles tendinopathy retrocalcaneal bursitis haglund deformity (i.e. J., raju k., agarwal s. Enlargement of the entire posterior aspect of the. Insertional achilles tendinitis and haglund's deformity. Oral radiology, principles and interpretation. Haglund's syndrome is a group of signs and symptoms consisting of haglund's deformity (which is an exostosis of the posterior calcaneal tuberosity) in combination with retrocalcaneal bursitis. Dobson r, ramagopalan s, davis a, giovannoni g.

We may consider surgery to remove your bump and repair your achilles tendon.

Adrenocortical carcinoma associated with adrenogenital syndrome in a child. Dobson r, ramagopalan s, davis a, giovannoni g. Haglund's syndrome a bump on the back of your heel that can become inflamed. Schneider w., niehus w., knahr k. The clinical diagnosis of haglund's syndrome is often confusing as the clinical picture may mimic other causes of hindfoot pain such as. Clinical features and differential diagnosis with mr imaging. Enlargement of the entire posterior aspect of the. A full range of orthopedic services, from diagnosis to full recovery. J., raju k., agarwal s. See more ideas about radiology, radiography, radiology imaging. Insertional achilles tendinopathy retrocalcaneal bursitis haglund deformity (i.e. Radiographic evaluation of haglund's deformity. Haglund's syndrome is a group of signs and symptoms consisting of haglund's deformity (which is an exostosis of the posterior calcaneal tuberosity) in combination with retrocalcaneal bursitis.

A clinical and radiographic analysis hagl. See more ideas about radiology, radiography, radiology imaging.

Posting Komentar

0 Komentar